Kim tiêm gãy, mắc trong má người phụ nữ khi tiêm filler tại salon tóc Hà Nội
Bác sĩ Khoa Tạo hình Thẩm mỹ, Bệnh viện đa khoa Hùng Vương thông tin, bệnh nhân là một phụ nữ trung tuổi. Người phụ nữ này được thực hiện thủ thuật tiêm filler xóa rãnh mũi má tại một salon tóc ở Hà Nội. Quá trình thực hiện thủ thuật làm đẹp xảy ra sự cố bị gãy kim tiêm, đầu kim cắm sâu vào má.
Sau đó, bệnh nhân có đến bệnh viện nhưng không lấy được kim ra. Bệnh nhân đến Bệnh viện đa khoa Hùng Vương trong tình trạng sưng, đau vùng má.
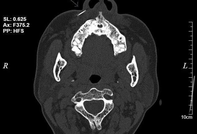
Sau khi thực hiện chụp CT, kết quả cho thấy hình ảnh dị vật khoảng 1cm vị trí phần mềm cánh mũi phải. “Vị trí kim găm sâu vào má, bệnh nhân được bác sĩ chỉ định thủ thuật lấy dị vật”. Sau 10 phút, dị vật là đầu kim đã lấy ra từ vùng má bệnh nhân.
Các bác sĩ đánh giá đây là ca hiếm gặp. Trường hợp thường gặp, do tiêm filler ở những cơ sở không uy tín, thường xảy ra biến chứng tắc mạch như mất thị lực, đột quỵ hay yếu nửa người, hoại tử, nhiễm trùng vùng tiêm…
Gần đây nhất, tháng 4/2022, Bệnh viện Việt Đức cũng tiếp nhận trường hợp người phụ nữ ở Hà Nội đến viện trong tình trạng hoa mắt, chóng mặt, co giật, mắt bên trái thể nhìn thấy.

Bệnh nhân là phụ nữ 47 tuổi ở Hà Nội, được người nhà đưa đến Bệnh viện trong tình trạng mất thị lực mắt trái sau tiêm filler tại spa của người quen.
Theo lời kể của bệnh nhân, sau tiêm khoảng 10-15 phút, khi bắt đầu được nắn sống mũi, người phụ nữ này thấy hoa mắt, chóng mặt, xuất hiện co giật. Ngay lập tức, spa có tiêm thuốc giải nhằm làm tan filler đã tiêm và bệnh nhân được đưa đến Bệnh viện Việt Đức cấp cứu.
Bệnh nhân nhập viện trong tình trạng thị lực mắt trái không nhìn thấy, lại thêm biểu hiện đau đầu, co giật, các bác sĩ nghi ngờ nguy cơ tắc động mạch não. Các bác sĩ Bệnh viện Việt Đức đã mời các bác sĩ Bệnh viện Mắt Trung ương hỗ trợ, phối hợp với bác sĩ tạo hình, bác sĩ chống đột quỵ để xử lý cấp cứu cho bệnh nhân.
Theo các chuyên gia, đa phần các trường hợp gặp biến chứng khi tiêm filler đều làm ở các cơ sở không phép; người thực hiện không phải là bác sĩ có chứng chỉ hành nghề, không được đào tạo về tạo hình – thẩm mỹ hoặc da liễu, không được đào tạo một cách bài bản về filler.
Vì vậy, các bác sĩ khuyến cáo, nhu cầu chính đáng và bình thường của tất cả mọi người đặc biệt là chị em phụ nữ tuy nhiên bạn cần làm đẹp an toàn.
Theo đó, bạn nên lựa chọn những cơ sở chuyên khoa được cấp phép, các bác sĩ có chứng chỉ hành nghề được phép tiêm filler, tránh những trường hợp đáng tiếc.
Ngoài ra, Quý khách hàng có thể tham khảo thêm Duo vital giá bao nhiêu tại Hệ Thống Nhà Thuốc Gia Hân Pharmacy
Hệ Thống Nhà Thuốc Gia Hân Pharmacy là nơi Quý khách hàng yên tâm gửi trọn niềm tin để chăm sóc sức khoẻ cho cả gia đình mình.
Đến với chúng tôi, Quý khách hàng thoải mái trải nghiệm cảm giác mua sắm hàng chính hãng với giá tốt nhất đầy đủ các sản phẩm thuốc tây, thực phẩm bảo vệ sức khoẻ, mỹ phẩm, thiết bị y tế…
 
			 
											
Comments are closed.